Centre Dentaire Bd Zerktouni

L'Excellence Dentaire
au cœur de Casablanca.

Confiez votre sourire à l'expertise du Dr Hanane Benmansour. Un plateau technique d'exception pour l'Implantologie, l'Esthétique (Facettes) et vos soins quotidiens, sans douleur.

Réserver mon bilan
★★★★★
4.9/5 sur Google Avis
Prochaine disponibilité : Aujourd'hui à 14h00
Équipe Smile Dental Center Casablanca Dr Benmansour
Validé

Radio Panoramique 3D sur place

Dr Hanane Benmansour Chirurgienne Dentiste Casablanca

Dr Hanane Benmansour

Chirurgien Dentiste - Implantologue

Votre praticienne à Zerktouni

L'Excellence Médicale,
l'écoute humaine en plus.

Derrière chaque sourire, il y a une histoire. Diplômée de la prestigieuse Université Paris V (René Descartes), le Dr Benmansour a fondé Smile Dental Center avec une vision claire : allier la rigueur scientifique française à un accueil chaleureux marocain.

Expertise Certifiée

Diplômes en Implantologie Orale et Prothèse (Paris V & Bordeaux II). Une formation continue constante.

Hygiène Hospitalière

Chaîne de stérilisation aux normes européennes strictes. Votre sécurité est notre priorité absolue.

Découvrir le parcours complet du Docteur
Preuve en image

Des transformations
qui changent la vie.

Découvrez de vrais résultats obtenus au Smile Dental Center. Glissez le curseur de gauche à droite pour voir la différence.

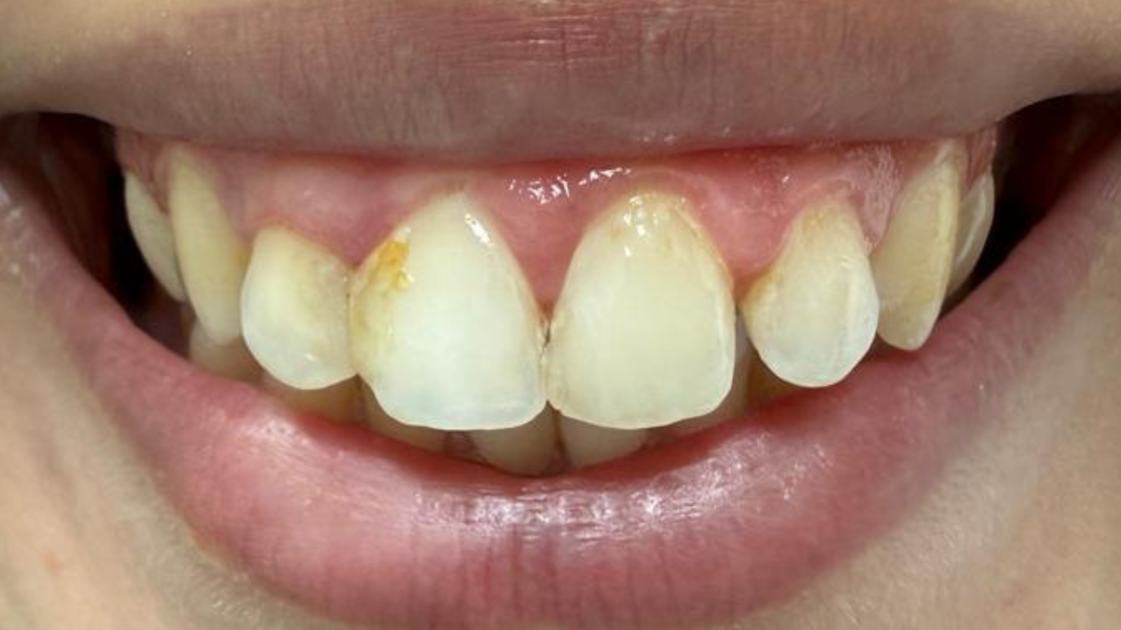
Réhabilitation Complète

Restauration globale de la fonction masticatoire et de l'esthétique du sourire.

Sourire après réhabilitation complète Sourire avant réhabilitation complète
Avant Après

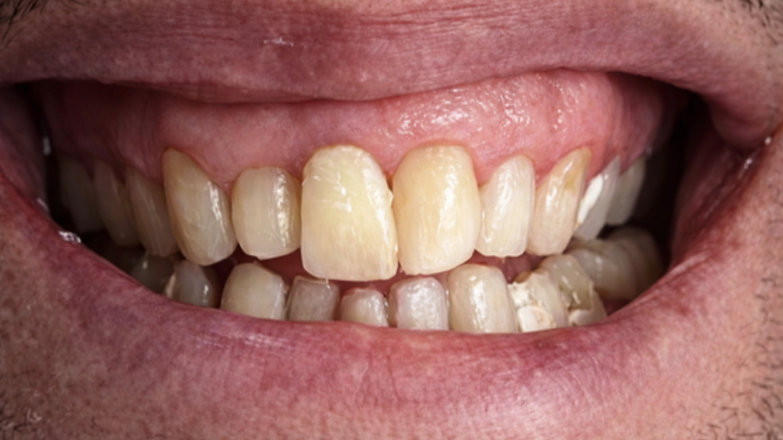
Hollywood Smile

Correction du sourire gingival et pose de facettes en céramique sur mesure.

Sourire après hollywood smile Sourire avant hollywood smile
Avant Après

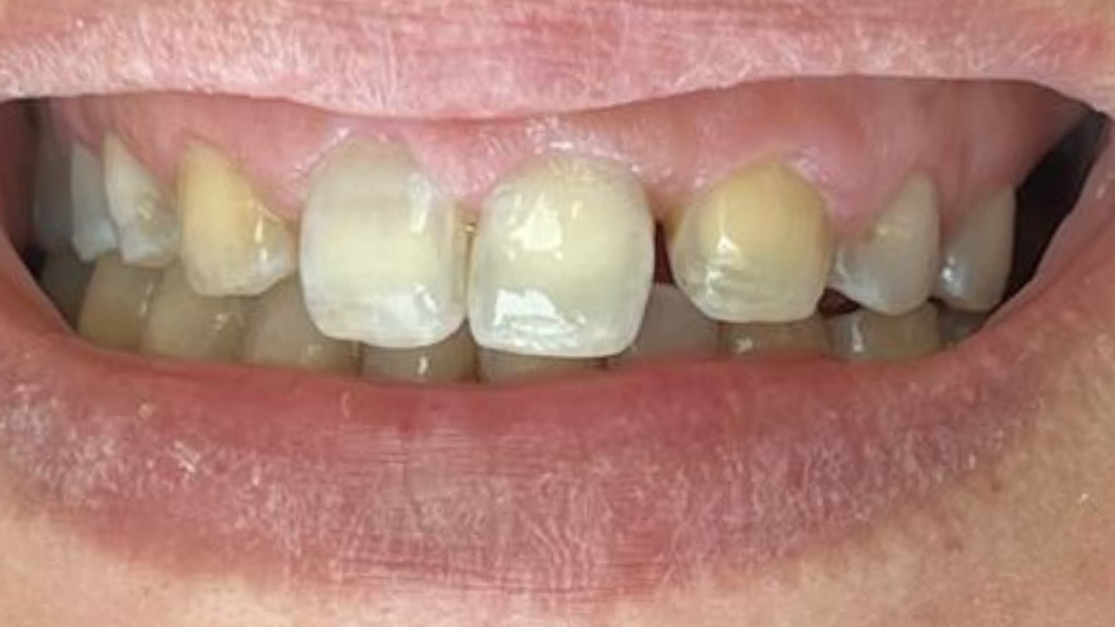
Alignement Orthodontique

Réalignement dentaire complet pour un sourire symétrique et harmonieux.

Sourire après alignement orthodontique Sourire avant alignement orthodontique
Avant Après

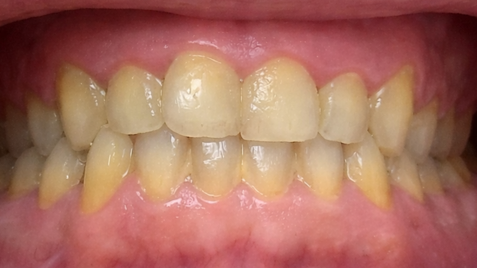
Esthétique Avancée

Restauration des dents usées et correction de l'occlusion avec un rendu 100% naturel.

Sourire après esthétique avancée Sourire avant esthétique avancée
Avant Après
Expérience Patient

4 Étapes vers votre
nouveau sourire.

Nous avons simplifié le processus médical. De la première radio à la pose finale, tout est clair, planifié et sans douleur.

Consultation Dentiste Casablanca Radio 3D
01

Bilan & Radio 3D

Tout commence par l'écoute. Dès votre arrivée, nous réalisons un scanner 3D sur place pour comprendre votre anatomie exacte. Pas d'aller-retour inutile vers un centre de radiologie.

Réserver mon diagnostic offert
Devis Dentaire Transparent Maroc
02

Plan & Budget Clair

Zéro surprise. Nous construisons ensemble un plan de traitement adapté à votre rythme et votre budget. Vous repartez avec un devis détaillé et des explications limpides.

  • Devis écrit immédiat
  • Options de paiement
Soins dentaires sans douleur
03

Soins & Douceur

Installez-vous, mettez votre musique si vous le souhaitez. Grâce à nos techniques d'anesthésie modernes, l'intervention se déroule dans un calme absolu. La douleur appartient au passé.

Voir nos technologies
Nouveau sourire Casablanca avant après
04

Révélez votre Sourire

C'est le moment final. Un sourire harmonieux, fonctionnel et éclatant. Vous retrouvez le plaisir de manger et la confiance de sourire à pleines dents.

Commencer mon histoire
La Différence Smile Dental Center

L'Excellence n'est pas une option,
c'est notre standard quotidien.

Au-delà des soins, nous vous offrons un environnement sécurisant où la technologie de pointe rencontre la bienveillance humaine.

Hygiène Hospitalière

Stérilisation de classe B (norme la plus stricte), traçabilité des instruments et asepsie totale pour votre sécurité absolue.

Technologie 3D

Plateau technique complet sur place : Scanner 3D, Radio Panoramique et Laser pour des diagnostics immédiats et précis.

Rendu Naturel

Nous refusons l'effet "fausses dents". Nos prothésistes travaillent la texture et la teinte pour un sourire indiscernable du naturel.

Douceur & Confort

La peur du dentiste, c'est fini. Anesthésie topique (gel avant piqûre) et techniques mini-invasives pour des soins 100% sereins.

Transparence Totale

Aucun soin ne commence sans votre accord sur un devis clair. Nous proposons des solutions adaptées à chaque budget.

Esprit Familial

Nous soignons les enfants (pédodontie), les parents et les grands-parents. Un dossier unique pour toute la famille.

Suivez-nous @smiledentalcentercasa

Votre sourire en vidéo.

Découvrez les coulisses du cabinet et nos résultats en direct sur Instagram.

FAQ

Vos questions fréquentes

Des réponses claires et immédiates pour préparer votre venue à Casablanca.

Les facettes sont de fines pellicules collées sur la face visible (purement esthétique), tandis que les couronnes recouvrent la totalité de la dent pour la renforcer (structurel et esthétique).
Absolument. Avec l’orthodontie invisible (aligneurs transparents) ou les bagues céramiques, nous traitons discrètement de nombreux adultes pour des raisons esthétiques ou fonctionnelles.
Ne restez pas avec la douleur. Prenez un paracétamol (si pas d'allergie), évitez le chaud/froid, et appelez-nous immédiatement au +212 717-680671. Nous gardons des créneaux pour les urgences.
Récupérez le morceau si possible, rincez-le à l’eau claire et conservez-le dans du lait ou de la salive. Venez au cabinet rapidement : nous pouvons souvent recoller le fragment avec un résultat invisible.
Cela indique souvent une inflammation ou un manque de place. Faites des bains de bouche à l’eau salée tiède et consultez pour faire une radio panoramique de contrôle.
Prendre Rendez-vous

Nous sommes à votre écoute
à Casablanca, Zerktouni.

Une urgence ? Un projet esthétique ? Contactez-nous pour une prise en charge rapide et personnalisée.

Nous rendre visite

Espace Erreda, 1er Étage
52 Bd Mohammed Zerktouni,
Casablanca 20200, Maroc

Guidage GPS →
OUVERT

Appelez-nous

Lundi - Samedi : 09h00 - 19h00

Nous Contacter

Pour les demandes de partenariat ou les questions administratives.

Envoyer un email
Appeler WhatsApp